
دکتر فریبا فرهنگ
دکترای تخصصی دندان پزشکی با بیش از 30 سال سابقه
خدمات ما شامل:
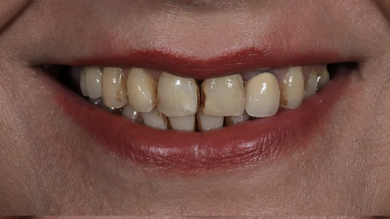
قبل و بعد ترمیم و لمینت دندان
با استفاده از جدیدترین متدهای ترمیم و لمینت دندان، لبخندی زیبا و طبیعی را تجربه کنید. برای این بیمار عزیز، با بهرهگیری از تکنیکهای پیشرفته و مواد با کیفیت، رنگ و فرم دندانها به زیبایی اصلاح شده و نتیجهای کاملاً طبیعی و درخشان به دست آمده است. این درمان علاوه بر زیبایی، استحکام دندانها را نیز تضمین میکند.
بیمه های طرف قرارداد








سوالات پرتکرار
لمینت دندان یک پوسته نازک از جنس سرامیک یا کامپوزیت است که بر روی سطح دندان قرار میگیرد تا ظاهر آن را بهبود بخشد. مزایای لمینت شامل بهبود رنگ، شکل و سایز دندانها، مقاومت بالا به لکهها و دوام طولانیمدت است.
کامپوزیت دندان مادهای همرنگ دندان است که برای ترمیم و بهبود ظاهر دندانها استفاده میشود. از کامپوزیت برای پر کردن حفرههای دندان، اصلاح شکستگیها و تغییر رنگ و شکل دندانها استفاده میشود
بلیچینگ دندان فرآیندی است که با استفاده از مواد شیمیایی خاصی مانند پراکسید هیدروژن یا کاربامید پراکسید، رنگ دندانها را روشنتر میکند. این روش تحت نظارت دندانپزشک ایمن و موثر است و نتایج آن بسته به مراقبتهای بعدی، میتواند تا چند سال دوام داشته باشد.
ارتودنسی شاخهای از دندانپزشکی است که به تنظیم و صاف کردن دندانها و فکها میپردازد. زمانی که دندانها نامرتب باشند یا مشکلات بایت وجود داشته باشد، ارتودنسی با استفاده از بریسها یا الاینرها (شفاف) به بهبود زیبایی و عملکرد دندانها کمک میکند.
فرآیند پر کردن دندان برای ترمیم حفرهها و خرابیهای دندان انجام میشود. دندانپزشک پس از تمیز کردن ناحیه خرابی، از مواد مختلفی مانند آمالگام، کامپوزیت یا طلا برای پر کردن استفاده میکند. کامپوزیت به دلیل همرنگ بودن با دندانها، بیشتر در نواحی جلویی استفاده میشود.
عصبکشی فرآیندی است که در آن پالپ آسیبدیده یا عفونی دندان برداشته میشود و داخل دندان تمیز و پر میشود. این روش برای حفظ دندان و جلوگیری از عفونتهای بیشتر انجام میشود. زمانی که درد شدید یا آبسه در دندان وجود داشته باشد، معمولاً نیاز به عصبکشی است.
گواهینامه ها






